

風邪に抗生物質
と書くと、ちょっと知っている方なら疑問を感じる方もおられるかも知れません。 そもそも風邪とはウイルス感染による上気道症状(喉から口、鼻の症状)で(wikipedia)、ウイルスには抗生物質が効かないことはお医者さんなら誰でも知っている事です。...


9月14日午前診休診、午後診代診(外科対応不可)
大変ご迷惑をおかけいたしますが、院長の父親の葬儀のため、9月14日午前診休診、午後診代診(外科対応不可)とさせていただきます。


注射と糖尿病
糖尿病で注射しているというと、まず思い出すのがインスリンです。 ですが、糖尿病はインスリンが出ていない人だけでなく、出ていても効きにくい人がなる病気であることはあまり知られていません。 インスリンが効きにくい人に効果が高いGLP-1という製剤注射薬が出ていて、数年前から使用...


細い血管
血管が細い人は採血も点滴も大変です。 当院では血管が細い方でも採血できるコレステロール、HbA1c、CRP測定器を導入しています。 今回はさらに血管を浮かび上がらせるLEDを内蔵したveinfinder、静脈探索機とでも訳す、この機械を導入しました。...


不眠と加齢とアレとコレ3
精神科の先生に聞いた話ですが、『刑務所に入ると、薬を使わなくてもうつ病は良くなる』そうです。 曰く、酒はもちろん飲めず、適度な運動を行う。しなくてはいけないことはすべて命令され、自分の判断が必要となる余地はなく、決断するというストレスから解放される。快眠に対しても妨げになる...


不眠と加齢とアレとコレ2
前回は 眠れないのは昼間、肉体的に疲れてないから と言うお話でした。 眠れないときの対処方法として、よく行われているのが、 『酒』を飲んでから寝る というものですが、『酒 睡眠』で検索するとすぐに判るように、酒は睡眠を浅くします。それどころか、快眠の妨げになる三大要素は『運...


不眠と加齢とアレとコレ1
歳を取ると朝が早くなる、とよく言われます。 また、若い人でも夜眠れない、という方はたくさんいらっしゃいます。 子供の頃、TVアニメの『一休さん』で、将軍様が夜眠れないのを一休さんが見事に治して差し上げるというお話がありました。 あらすじを簡単に言うと、...


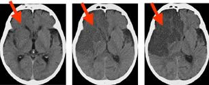
脳梗塞の検査
脳梗塞で脳細胞が傷つくと血管内でアクロレインという物質が出ます。それと同時にいくつかの炎症物質も出現します。これらの数値と年齢などを総合的に判断し、かくれ脳梗塞を検出できる検査をアミンファーマ社が開発しました。 ・低リスク群 約16% ・境界群 約70%...


診療報酬の改定
この4月に、2年に一度の診療報酬改定があります。通常の診察、投薬であれば大きく料金が変わることはありませんが、今回「薬剤総合評価調整管理料」という項目が算定出来るようになりました。 字面を見ただけではなんの事か分かりませんが、簡単に言うと『6種類以上薬を飲んで居る人の処方を...


市立芦屋病院と提携-4月から芦屋病院で救急当直に入ることになりました。-
忙しい勤務医の先生の疲弊防止と、地域医療のお手伝いが出来ればと思い、 地域連携室を通じてお話していました。 しばらく経ってから芦屋病院さんから『是非とも4月からお願いします。』との返事がきました。 外科の救急も出来ますよ、とお伝えしましたが、始めは内科の救急のみからお手伝い...






